-
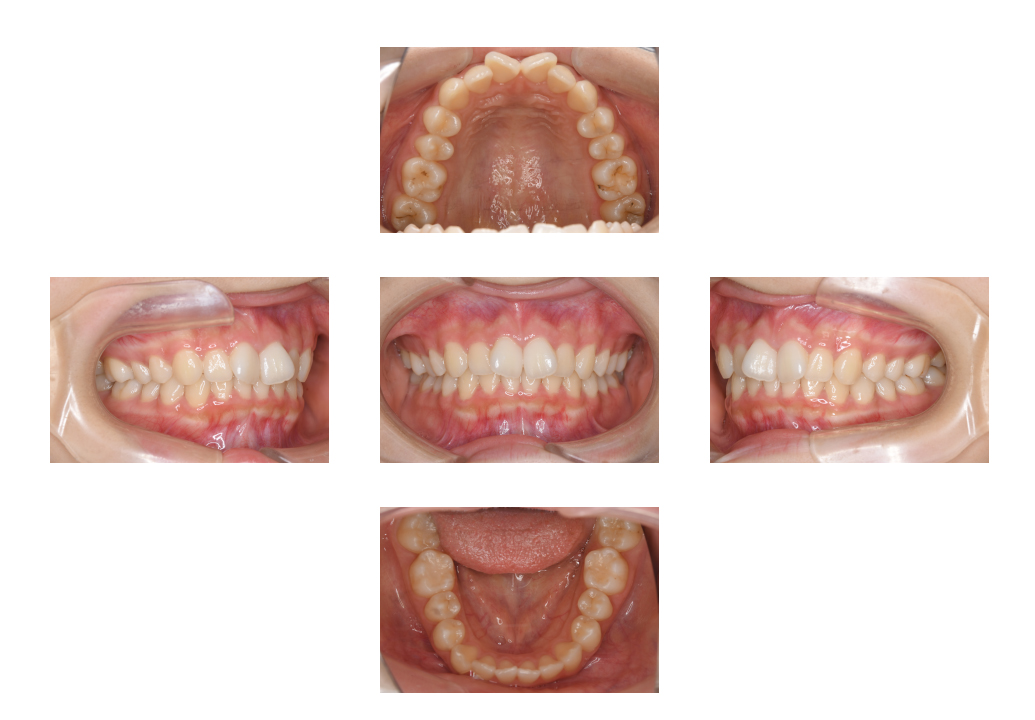
10代 歯並びが気になる
-
Before
-
After
通院時の年齢 10代 性別 男性 通院目的 歯並びが気になる 処置内容 ・非抜歯治療
・ハーフリンガル装置にて治療通院回数 1年3カ月(16回) 費用 ・ハーフリンガル装置 770,000+税
・ホワイトワイヤー使用
処置料7,150円×16回の来院リスク・副作用 自由診療になるため、虫歯治療などの保険診療と比べ治療費が高額になり治療期間も症状によりますが長くなります。
そのため、患者様がきちんと理解をした状態で治療を始めることが大切であると当院は考えます。
矯正装置を装着した時や調整した後、歯が動き始めた時などには、多少の不快感や軽度の痛みを伴うことがあります。
痛みの感じ方や感じやすさには個人差がありますが、なるべく痛みが少ないようにワイヤーを選択しゆっくり動かすようには考慮して治療は行っております。
備考 矯正治療期間は、歯みがきが重要です。患者さまの歯の状況に応じて、
歯ブラシ指導をおこないますので一緒に頑張りましょう。
当院は患者さんに寄り添い、ベストな治療は何かを常に考えながら一人一人の笑顔をより素晴らしいものにしていきたいと考えています。 -
-
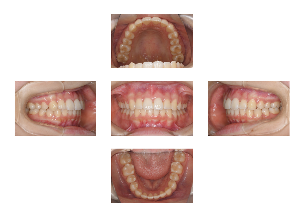
10代女性 前歯の捻転が気になる
-
Before
-
After
通院時の年齢 10代 性別 女性 通院目的 前歯の捻転が気になる
処置内容 ・カリエールによる臼歯の遠心移動により非抜歯治療
・マルチブラケット装置にて治療
通院回数 1年3カ月 費用 ・セラミックブラケット装置 737,000+税
・ホワイトワイヤー使用
処置料6,600円×14回の来院リスク・副作用 自由診療になるため、虫歯治療などの保険診療と比べ治療費が高額になり治療期間も症状によりますが長くなります。
そのため、患者様がきちんと理解をした状態で治療を始めることが大切であると当院は考えます。
矯正装置を装着した時や調整した後、歯が動き始めた時などには、多少の不快感や軽度の痛みを伴うことがあります。
痛みの感じ方や感じやすさには個人差がありますが、なるべく痛みが少ないようにワイヤーを選択しゆっくり動かすようには考慮して治療は行っております。備考 非抜歯のため、ブラケット装着前にカリエールで臼歯の遠心移動をおこなった
矯正治療期間は、歯みがきが重要です。患者さまの歯の状況に応じて、
歯ブラシ指導をおこないますので一緒に頑張りましょう。
当院は患者さんに寄り添い、ベストな治療は何かを常に考えながら一人一人の笑顔をより素晴らしいものにしていきたいと考えています。
-
-
10代男性 一般歯科で歯がないと言われて...
-
Before
-
After
通院時の年齢 10代 性別 男性 通院目的 一般歯科で歯がないと言われている 処置内容 下顎両側切歯欠損 上顎前突 上顎両側小臼歯抜歯し、ヘッドギアとセラミックマルチブラケット装置にて治療 通院回数 16回(1年4ヵ月) 費用 737,000円(税込)
処置料:月々6,600円 (税込)×16回の来院リスク・副作用 自由診療になるため、虫歯治療などの保険診療と比べ治療費が高額になり治療期間も症状によりますが長くなります。
そのため、患者さまがきちんと理解をした状態で治療を始めることが大切であると当院は考えます。
矯正装置を装着した時や調整した後、歯が動き始めた時などには、多少の不快感や軽度の痛みを伴うことがあります。
痛みの感じ方や感じやすさには個人差がありますが、なるべく痛みが少ないようにワイヤーを選択しゆっくり動かすようには考慮して治療は行っております。
患者さまによっては、今回のように抜歯が必要となる場合もあります。備考 下顎両側側切歯が先天欠如であることから、上下顎の歯のサイズが合わないことが予測されました。臼歯部の咬合関係によっては、下顎前歯部のディスキングの可能性も説明していましたが、咬合状態も良好であったことからディスキング処置は行っていません。
矯正治療期間は歯みがきが重要です。患者さまの歯の状況に応じて歯ブラシ指導をおこないますので一緒に頑張りましょう。
当院は患者さんに寄り添い、ベストな治療は何かを常に考えながら一人一人の笑顔をより素晴らしいものにしていきたいと考えています。 -
-
10代女性 左側犬歯が埋まっている
-
Before
-
After
通院時の年齢 10代 性別 女性 通院目的 左側犬歯が埋まっている 処置内容 ・マウスピース矯正(インビザライン)
・上顎両側小臼歯を抜歯,正中合わせも行っている
二年半の治療期間内にリムーブを行った通院回数 2年2ヵ月(17回) 費用 ・インビザライン 968,000円(税込)
・処置料 月々3,300円 (税込)× 17回の来院リスク・副作用 歯列矯正のデメリットは自由診療になるため、虫歯治療などの保険診療と比べ治療費が高額になり治療期間も症状によりますが長くなります。
そのため、患者様がきちんと理解をした状態で治療を始めることが大切であると当院は考えます。
矯正装置を装着した時や、歯が動き始めた時などには、多少の不快感や軽度の痛みを伴うことがあります。
マウスピース矯正では、光学スキャナーにより歯並び、お口の中の状況を把握し、治療を始める前に矯正終了時の歯並びをシミュレーションします。そのデータをもとに、カスタムされたマウスピースを製作し、装着して歯並びを改善していきます。取り外し可能な装置なため、装着するかどうかが患者様の意志にゆだねられます。1日20時間以上をお願いし、十分装着していただけない場合は、歯に適切な力がかからず、治療期間が延長したり、予定通りの治療結果に至らない可能性があります。備考 理想的な治療を行うためには患者様の協力が不可欠な矯正治療です。
当患者様はしっかりと装置を使用されていたのでスムーズに治療を終えることが出来ました。
矯正治療期間は、歯みがきも重要です。患者さまの歯の状況に応じて、歯ブラシ指導をおこないますので一緒に頑張りましょう。
当院は患者さんに寄り添い、ベストな治療は何かを常に考えながら一人一人の笑顔をより素晴らしいものにしていきたいと考えています。 -





