-
Before
-
After
| 通院時の年齢 | 10代 |
|---|---|
| 性別 | 女性 |
| 通院目的 | 前歯の捻転が気になる |
| 処置内容 | ・カリエールによる臼歯の遠心移動により非抜歯治療 ・マルチブラケット装置にて治療 |
| 通院回数 | 1年3カ月 |
| 費用 | ・セラミックブラケット装置 737,000+税 ・ホワイトワイヤー使用 処置料6,600円×14回の来院 |
| リスク・副作用 | 自由診療になるため、虫歯治療などの保険診療と比べ治療費が高額になり治療期間も症状によりますが長くなります。 そのため、患者様がきちんと理解をした状態で治療を始めることが大切であると当院は考えます。 矯正装置を装着した時や調整した後、歯が動き始めた時などには、多少の不快感や軽度の痛みを伴うことがあります。 痛みの感じ方や感じやすさには個人差がありますが、なるべく痛みが少ないようにワイヤーを選択しゆっくり動かすようには考慮して治療は行っております。 |
| 備考 | 非抜歯のため、ブラケット装着前にカリエールで臼歯の遠心移動をおこなった 矯正治療期間は、歯みがきが重要です。患者さまの歯の状況に応じて、 歯ブラシ指導をおこないますので一緒に頑張りましょう。 当院は患者さんに寄り添い、ベストな治療は何かを常に考えながら一人一人の笑顔をより素晴らしいものにしていきたいと考えています。 |
-
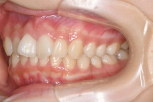
▼初診時の口腔内写真1

▼治療後の口腔内写真1

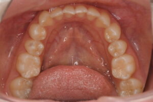
▼初診時の口腔内写真2



▼治療後の口腔内写真2



★智治矯正歯科でのその他症例★
10代男性 一般歯科で歯がないと言われている←症例紹介click
20代男性 口元の突出感・口が閉じにくい←症例紹介click
60代女性 右下のガタガタ、歯の重なりが気になる ←症例紹介click
非抜歯によるマルチブラケット治療の症例 ←症例紹介click
マルチブラケット装置による大人の矯正治療 ←症例紹介click
前歯で物が咬みきれない【マルチブラケット矯正】←症例紹介click
▼矯正治療や歯の事に役立つ情報をスタッフが発信しています!!
————-
福岡市西区今宿の智治矯正歯科は矯正歯科治療を専門として特化している歯科医院です。
患者様とのカウンセリングを十分に行い、患者様が求めている最良の歯科医療を提供いたします。
通常のマルチブラケット矯正法から、見えない矯正リンガルブラケット矯正法(舌側矯正)、マウスピース矯正法(インビザライン)まで様々な治療法を患者様のニーズに合わせたフルオーダーの矯正専門テクニックを提供いたします。
当院は子どもの矯正から大人の矯正まで可能です。歯並びのお悩みは院長、スタッフまでお気軽にご相談ください。福岡市西区九大学研都市の歯列矯正なら
「智治矯正歯科」へ





